book an appointment 817.488.2273
817.488.2273
600 E. Southlake Blvd. Suite 100 Southlake, Texas 76092

Dental Implants

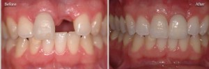
A healthy set of natural teeth is irreplaceable. But when disease or an accident ends in tooth loss, rest assured there are dental implant procedures to restore your smile. Dental implants are a way to replace a single tooth, several teeth or to support a full set of dentures. Implants are posts that are surgically placed in the jaw, where they function as a sturdy anchor for replacement teeth.

Interested in learning more about dental implant costs, procedures and how your smile can be transformed? Call our smile consultation team at (817) 488-2273 or you can book an appointment online.




Smile Makeover

Your smile says a lot about you. Get the smile you've always wanted at Holt Dental Care! Call us for your free smile consulation.

817-488-2273

Office Hours

  • Monday & Wednesday
  • 8 a.m. – 5 p.m.
  • Tuesday & Thursday
  • 7 a.m. – 4 p.m.
  • Friday
  • 8 a.m. - Noon